PET Tomography Shows How Online Training Affects Brain Aging

PET Tomography Shows How Online Training Affects Brain Aging



uaetodaynews.com — PET tomography shows how online training affects brain aging
Online brain training can improve neural networks that affect learning and memory, according to research at McGill University in Canada.
The results of the breakthrough research were published in JMIR Serious Games. They showed that 10 weeks of use of the gaming app BrainHQ by older adults improved cholinergic activity, a brain chemical system responsible for attention, memory and decision-making that is affected by age-related changes.
“The training restored the health of the cholinergic system to levels typical of a person 10 years younger. This is the first time that any intervention, drug or non-drug, has shown such a result in humans,” said Associate Professor Etienne de Villers-Sidani from the Department of Neurology and Neurosurgery McGillsenior author of the study.
Alzheimer’s disease is associated with a particularly dramatic decline in the health of the cholinergic system. This study offers a biochemical explanation for previous observations showing the effectiveness of exercise in reducing the risk of dementia and improving cognitive function. Such training can replace or be used in conjunction with medications.
Brain game
BrainHQ are reaction speed exercises that gradually become more difficult and require more attention; their effectiveness has been confirmed in hundreds of studies.
“Many people believe that crossword puzzles or reading are enough to keep their mind sharp. But not all activities actually promote neuroplasticity,” de Villers-Sidani noted.
Rare scan
To track changes in the brain, the researchers used a special PET scan and a tracer that makes cholinergic reserves visible in the scans, allowing them to see how active the cholinergic system was before and after exercise.
“We used rare technology. Neuro is one of the few centers in the world with radiotracer imaging and scanning capabilities,” boasted de Villers-Sidani, a practicing neurologist at the Montreal Neurological Institute-Hospital Neuro.
The study involved 92 healthy adults aged 65 years and older. They were randomly divided into groups. Every day for half an hour, some performed the above-mentioned exercises on the tablet (mark the desired object when there is interference on the screen, skip the object when there is no signal, etc. – with ever increasing speed), others played solitaire or played stress-free games.
Фото: JMIR Serious Games
Participants played these games for 10 weeks, half an hour a day – for speed (top) and not requiring mental effort (bottom)
At the molecular level
In positron electron tomography, only BrainHQ cognitive training participants showed improvements in cholinergic activity: in the anterior cingulate cortex, the main region of interest, and in memory-related areas, the hippocampus and parahippocampal gyrus. At the same time, the reaction speed on tests increased, and this effect persisted three months after the end of training.
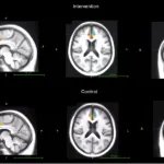
Фото: JMIR Serious Games
Changes in the anterior cingulate cortex at post-test compared to baseline, averaged across training (top) and control (bottom) participants.
The next study wants to test the program on people with early stage dementia.
Subscribe and read “Science” in Telegram
Disclaimer: This news article has been republished exactly as it appeared on its original source, without any modification. We do not take any responsibility for its content, which remains solely the responsibility of the original publisher.
Author:
Published on: 2025-10-14 20:05:00
Source: naukatv.ru
Disclaimer: This news article has been republished exactly as it appeared on its original source, without any modification. We do not take any responsibility for its content, which remains solely the responsibility of the original publisher.
Author: uaetodaynews
Published on: 2025-10-14 17:36:00
Source: uaetodaynews.com




